Wednesday, July 31, 2013

Images of Change: Charting

Image courtesy Kathy Neider, MD, Staff Physician, Baptist Health

"I'm sitting where my credenza used to be, stacked high with charts. I figured if I was going to be in my office till late at night finishing electronic charting, it might as well be in a comfortable place."

Submitted as part of Image of Change: A Health Care Evolution Photo Contest. Feel free to submit yours (Instructions at the link).  -Wes

Friday, July 26, 2013

An Open Letter to Patient's With Pre-excited Afib and Ischemic VT

Dear Mr. or Ms. Patient With Pre-excited Afib or Ischemic VT:

I just wanted to let you know, if you come to our ER, you are screwed.  Currently, our best drug to deal with your arrhythmias of pre-excited atrial fibrillation (afib) or ischemic ventricular tachycardia is not available anywhere: procainamide.  It seems the one drug company who makes this drug (Hospira) has a few manufacturing delays (oops), so the drug is on backorder

So come ready to have your heart shocked. 

Hopefully we'll have some analgesic or anesthetic drugs available in our pharmacy that aren't on backorder so you won't feel your cardioversion.

Wishing you the best, as always...

-Wes

Thursday, July 25, 2013

Images of Change: A Health Care Evolution Photo Contest

Much of my interest in writing about health care has been the changes I've noticed and experienced over the years of practicing medicine: some good, some not-so-good.  Pictures of these changes to health care, I've found, are limited.  Sooo, I thought it would be fun to create a contest of sorts: perhaps it will be well-recieved, perhaps not, I have no idea.  But the idea is this: try to capture an aspect of change in health care that you've noticed in a single photograph.

Almost all of us carry a smart phone.  As such, we have a perfect opportunity to capture images that might embody some change we have seen in health care.  Send it to me at wes - at - medtees dot com, tell me why you think this represents "change," and I'll add them to this blog from time to time if there's enough interest.   Be careful not to include any patient images, please (HIPAA frowns on that), and keep the content professional.  Send as many as you want, but please don't send super-high res images or my mailbox will become overloaded quickly. (I am celebrating that my blog finally has more than two readers a day!)  After I collect as many as I can over the next several months, I'll post all of those I've received in a photoshopped collage, then let people pick the image they feel best depicts health care's most significant "change."  So tell friends at the New York Times, the Wall Street Journal, retweet the post, put this exceptional contest on Facebook, Pinterest, and LinkedIn - the more the merrier.  Then have fun.

What will you receive for your efforts?  Once selected, the grand prize winner will receive worldwide recognition as the "The Biggest Change Agent, 2013!"  (Sorry, monetary prizes are easily gamed and might miss the spirit of the contest - yes, Virginia, this is strictly for fun and entertainment.)  (If someone want's to help contribute some real coin to the effort, e-mail me and maybe we can make a real prize contest out of this...)

So be thinking about this (in all of your spare time), snap a pic, and send it on.  I'd love to see what others are seeing around the country (or around the world) as health care changes faster than ever. 

To get you started: here's a picture I took today.  I think it speaks volumes:


Mailboxes in the Physician Lounge
(Click to enlarge)
 -Wes

Wednesday, July 24, 2013

When Your 26-year Old Needs Insurance

My son was born in 1987.  Like many kids his age, he is currently "underemployed" as he struggles to get an internet start-up idea off the ground.  Thanks to our new health care law, he was able to stay on my insurance until he reached the magic age of 26.  But the honeymoon has ended and recently I began the process of deciding if I should continue him on my Cobra plan at the high price of $485.14 per month or seek a high-deductible major medical plan instead.

Being former military, I have homeowners and car insurance through USAA. So I was interested when they  sent me a marketing e-mail suggesting I might want to look at health insurance options available for my son.  The plans were offered by "Assurant Health Care," so I thought I'd explore what this one company offered. 

First, Assurant Health offered three options for coverage: (1) Fixed-benefit Insurance starting at $67 per month, (2) Temporary Insurance starting at $86.74 per month, and (3) Major Medical Insurance starting at $90.74 per month.  So far so good. 

Fixed-benefit insurance, I learned, is different from major medical insurance since it pays set cash amounts (fixed benefits) when a person receives medical services. Depending on what providers charge, my son might (scratch that, probably will) have to pay a portion of his health care bill and cap at a $1 million, $2 million, or $3 million lifetime benefit, depending on much he'd like to pay each month. 

Temporary insurance is marketed as "30 to 180 days of short term insurance coverage. Protection is provided when you're between jobs, waiting for employer benefits, or in temporary, seasonal or contract work."  Hmm, this seemed like a possibility provided he can get a job in that period of time.  Oh wait, this hasn't gone so well so far, so this might not be the best option for him.

Major Medical insurance: was being marketed as insurance similar to what I have now, except with a varying sized deductibles and no life-time care limit.

On the surface, each of these options looked possible until I read the fine print on all of them: pre-existing conditions would not be covered by any of the above plans.  But my son has a few pre-existing conditions.  Wait, doesn't our new health care law cover people with pre-existing conditions? 

As I recall, the Pre-existing Condition Insurance Plan (PCIP) is overseen by the Center for Consumer Information and Insurance Oversight (CCIIO) created through our new health care plan and under the auspices of the Department of Health and Human Services.  To be eligible for the PCIP, “individuals must have a pre-existing condition and have been without creditable coverage for at least 6 months prior to application,” explained the Governement Account Office that limits “the program to individuals who likely have been unable to access insurance because of their pre-existing condition.” 

Now he just lost his insurance, right?  So he has to wait 6 months?  Can you say "Catch-22?"

To make matters much worse, the PCIP ran out of money in February, 2013 so the Department of Health and Human Services  stopped enrolling patients with pre-existing conditions who might need coverage.  What does this mean for the rest of our new health care law's ability to pay for U.S. citizens as insurers offload all their patients with pre-existing conditions on them? Will Congress assure there be enough money available to care for patients with pre-existing conditions when the new health care law goes into effect?  And why hasn't this been fixed by now?  This should sound a prescient warning concerning correcting problems with the law to us all.

His only other option currently is to enroll in Illinois CountyCare, a Medicaid program constructed on the back of the Affordable Care Act.  It provides limited services and not all doctors are part of CountyCare, I learned.  In fact, according to their website:

"Only doctors that are part of the CountyCare network may accept CountyCare patients. When an individual enrolls in CountyCare, they will be asked to select a patient centered medical home site from a list of participating providers. Choices will include Cook County Health & Hospital System sites as well as some other community providers, such as community health centers."

But at least he'd have some health care, right? 

It is hard to say.  He might have insurance, but access to providers might be very difficult, especially when we consider Cook County, the second most populous county in America, has 40.5% of the entire population of Illinois within its border. 

Given these options, it appears my son will likely continue his Cobra plan for now, since the devil you know is better than the devil you don't know.

Now I consider myself fairly medically savvy.  I read fine print.  I am fortunate to have financial resources.  And I like the ability to choose between options for my son's insurance needs.  But it looks like the depth and breadth of health care options for young adults without pre-existing conditions is going to be staggering but with many coverage loopholes.  For those young adults with pre-existing conditions, their options for care will remain quite limited, especially if they're unemployed or underemployed.

I feel for the young, under-employed who are less medically-saavy and have no fallback options for care.   Will they obtain the wrong insurance or be underinsured as they fumble through a variety of websites that offer hundreds of coverage options?  Will they have to find a new doctor beginning in 2014?

It seems so.

Welcome to the insurance nightmare of the Obamacare Underworld.

-Wes





administration’s Health and Human Services Department (HHS) has stopped enrolling any new people in the program, according to an audit by the General Accountability Office (GAO). - See more at: http://cnsnews.com/news/article/gao-hhs-already-rationing-enrollment-obamacare-s-pre-existing-condition-plan#sthash.EZVgmKIe.dpuf
administration’s Health and Human Services Department (HHS) has stopped enrolling any new people in the program, according to an audit by the General Accountability Office (GAO). - See more at: http://cnsnews.com/news/article/gao-hhs-already-rationing-enrollment-obamacare-s-pre-existing-condition-plan#sthash.EZVgmKIe.dpuf

Friday, July 19, 2013

Paying It Foward

Finally, a warm, sunny day in the city of Chicago after an unusually cool, rainy Spring.  The fireworks the night before were watched through a low layer of clouds on a dreadfully still summer night, but the threatening rains never came.  Today, though, had been sunnier, brigher, and a wonderful day to enjoy the beach.  The July 4th crowd was large but manageable, and most were returning home to get ready for the evening's activities.

Philip noticed the other gentleman not much older than himself as he was returning his Catamaran to it's rightful spot on the beach.  The other man had just returned his kayak to its slip and was loading his car with beach supplies.  As he finished loading the car, he slammed the back hatch door of the car, turned to walk away, but suddenly collapsed to the ground in a heap.

He didn't move.

Seeing the strange sight, Philip ran to his aid.  The fallen man was lying there with eyes staring skyward, not blinking.  His lips and ears were turning bluish as the tall man shouted at him.  He didn't respond.  Philip checked for a pulse: nothing.  Others were circling, curious as he positioned the man face up on the nearby asphalt.  The onlookers looked confused, amazed at what they were witnessing.  He began pressing on the lower part of the man's chest.  Again, again, and again.

He looked up and shouted as calmly as he could, "Call 911." The bystanders, still dazed, reached for their cell phones as fast as they could and dialed.  By now the attendants at the sailing shack had noticed what had happened and had radioed for help, too.  The AED and oxygen were at the swim beach, about a quarter of a mile away.  A young 16-year old lifeguard, his first day on the job, ran to the scene and reached in to his fanny pack to remove the facemask and worked with the tall, fit man doing CPR.

"Hang in there, Bill!  (not his real name)," the onlookers shouted.   "Don't leave us!" he remembered them saying as they stood by in tears hugging each other.  He kept doing CPR.  "They're coming with the AED!" someone shouted.

He could hear the sirens approaching ...

* * *

Twenty five years earlier, he was home with his mother in the kitchen when the girl arrived in their kitchen, bloodied, and wearing a large blue garbage bag as shorts.    "Help me," she pleaded, "I was raped, but I managed to shoot him," she claimed.  The bloodied shorts and two guns she held in her hands seemed to substantiate her claim. She was trembling, aggitated and seemed terrified. "The police are going to find me and think that I'm a murderer!"

"It's okay," the mother said, trying to calm her.  "Sit down.  What's your name?" 

"Laurie," she said.  "Laurie Dann." 

"It's okay, Laurie. You're going to be okay," she said as she tried to console her.  "I can get you some shorts.  The police will understand that you were just trying to protect yourself."  The girl still looked too upset, untrusting.  The son stood watching carefully as the mother left only briefly and returned with a pair of girl's shorts.  "Here, put these on." 
The girl put down the two handguns and went behind the counter briefly to to put on the shorts.   Phil, not turning his back to the girl, quietly managed to pick up and pocket one of the guns.   "Maybe you should call your family?" he asked.  She shook her head in agreement and he handed her the phone.

She took the phone and dialed, still holding the remaining gun.  "Mom, oh my God, I've... I've done something horrible!   He tried to ...  The police are going to get me, Mom!  Oh, God!..."  She broke into tears unable to maintain her composure.  She  handed Phil the phone.

"Ma'am, my name is Philip Andrew and your daughter is here with us.  She is fine, but looks very upset.  She tells us she's been raped and might have shot the man who raped her.  I think you should come over..."  The mother said she'd try to get there as soon as she could, but she didn't have a car.  Phil felt uneasy with the situation, but the girl looked confused.  They tried to console her.

A short time later, the father arrived home.  He saw the girl with his wife and son sitting there, trying to coax Laurie into giving up her gun.  She wouldn't budge.  She rocked too and fro describing the scene, her terror, her anxiety. The family kept trying to console her, explain the rationale for giving up the gun.   Deflecting, they asked, "Maybe you should call your mother again."  They handed her the phone.  She called. 

This time, the mother managed to leave the house as Laurie spoke with her own mother.  Her words were disjointed in some respects, calculating in others.  After pleading with her mother to come, Laurie handed the husband the phone so he could speak with Laurie's mother.  He told her about the gun Laurie still had and asked the mother if she might plead with her daughter to give up the gun.  He handed the phone back to Laurie and told her he would not remain in the house to protect her from the police unless she put down the gun.  She still refused, so the man left the house.  As Phil tried to leave, she ordered him to stay. She pointed the gun at him.  He stood motionless, terrifed.

The standoff continued until just before noon and she became increasingly aggitated.  As Laurie saw the police approach, she shot Phil in the chest and gave chase, furious at the situation, but he managed to escape out the back door before collapsing.   She ran upstairs.

As he laid there, he could hear the sirens approaching...

* * *

They slapped the AED pads on his chest and stopped compressions.  "Analyzing..." the screen said.  The device detected ventricular fibrillation and shortly after the device said "Stand clear!" the man jerked.  They resumed CPR for a short time, but in 30 seconds the man started moving.  The sirens were almost upon them now.

As the ambulance crew arrived, they couldn't believe their eyes.  The man who moments ago had had chest compressions administered and an AED shock delivered, was getting to his feet.  They helped him to the ambulance.

"This impressed my crew, my guys, so much …" Wilmette Deputy Fire Chief Mike McGreal said a the recent Wilmette park board meeting honoring the beach staff.



But to Philip Andrew, now a crisis negotiator for the FBI who was on the beach with his wife that day, he'll never forget the sound of the sirens...

... and the emergency responders that saved his life twenty five years before.

"There's something really beautiful about being able to pay it forward," he said.

-Wes

References:

"Wilmette lifeguards honored after July 4 rescue"

Laurie Dann Wikipedia page








The Silent Majority

There is so much entropy in health care right now.  So much finagling, so much shifting, so much arguing, so much uncertainty, so much shock.  Shock at prices, shock at waiting times, shock that doctors don't know how to increase referrals, shock that doctors aren't doing more to help.  What gives?

In triage, you don't spend time with the expectant.

Doctors are keeping their heads down.  They are still seeing patients.  They are still going to work and taking the calls. 

But they are tired.  They are frustrated by the system that puts the system of care before the people doing the caring and those needing care.  They are tired of the empty promises.  Like the promises that staring at a keyboard will fix things, do things better, save money.  It's complicated, this health care thing, right?  We are told we need more automation.  We need more quality managers.  We need more safety officers to see more people with less to keep it safe.  We need more administrators to implement the rules: more people willing to take less to make it work.  Complicated, I tell you.

But the promises, we're learning, have been part empty, for they have enriched the system for the system's sake while leaving the people the system is supposed to help, increasingly broke.  We're $500 billion over budget so far and counting. 

Promises are for politicians and business people.   Real health care workers don't make promises, they do the best they can with what God gave us.  As patch after destructive patch of interweaving laws and back-slapping favors are handed out in Washington, corporate board rooms, and union meeting halls, a silent health care majority watches from their peripheral vision, trying not to notice, trying not to be disgusted, for the work for them never ends.  The silent majority is waking to the fact that the business part of health care was, is, and somehow forever shall be, broken.  There is simply too much money involved, too much economic return that can still be made, too many opportunities to deceive others for personal gain, too many people, too many workers, too much of our economy, to accept that things will ever really change.  Too very, very big...

... to fail.

Like Detroit.

I sit before a computer screen that says "Order entry:"   I no longer need a pen thanks to handsome government subsidies and a push to centralize and nationalize.  Let others do the deciding.

I type in an order.

Five choices instantly appear based an a sophisticated word-search algorithm.  I find what my patient and I, as their caregiver, need.  I click on the item.

But a price never shown.  So there is never a discussion about cost.   That's the intent.  There is never a word about the difference of retail price and what it really costs or what you'll really have to pay.  Like a shopping spree without the prices.  Because, according to others, doctors should not think of these things when health care is involved, nor should Congress - it's about your health, remember? 

So thousands and thousands of your dollars are put at risk, dear patient, with a single click of a button. Courtesy of government subsidies.  And you will never know.   Nor will I, as I load the gun of your economic destruction.

So efficient.  So clean.  So tidy.

How was I supposed to know I ordered a collection agency for you, too?

But the silent majority is stirring.  They are upset they must pay their mandate, upset the corporate guys don't.  The are seeing the bills, the denials, and the undecipherable bills.  They are seeing the cost.

The Silent Majority is stirring.

Because they have a check box, too.

In November, 2014.

-Wes


Tuesday, July 16, 2013

Spousal Travel Fees and the Cost of Medical Board Certification

Recently, I have been enduring my "Maintenance Of Certification" (MOC) training so I can continue to call myself  "Board Certified" in Cardiovascular Diseases and Cardiac Electrophysiology.  Later this year, I will sit for my re-certification examinations.  But I was also recently reminded just how expensive this process has become for doctors. 

Yesterday, I received a $775 bill for my "additional examination fee" from the American Board of Internal Medicine (ABIM) in the mail.  I was surprised and had to ask myself, "Why?"  Especially since this rate is more expensive than staying at a five-star hotel room in Chicago for a day.

In total, the out-of-pocket expenses for Maintenance of Certification in both of my subspecialties above have been as follows:

Enrollment Fee: Maintenance of Certification:  $1840 (this includes only one exam fee)
Additional Examination Fee:     $775.00

ACC Self-Assessment Program (ACCSAP 8): $620
Heart Rhythm Society Board Review Course and ABIM Recertification Module $1440

So far, that's: $4675 just to "maintain" my certification this time around.  (Per annum: about $500 per year).  (Note that this cost does not count the lost revenue I sustain from leaving my workplace to attend the Board Review Course, to study , or take the tests.)
And to think I get to do this every ten years!

But when we learn of the salaries of the leadership of the ABIM, it becomes clear why these fees are so high.   According to the publically-available IRS Form 990 from 2012 (the last available), ABIM Executive Christine K Cassel received salary and benefits of $786,751 in 2011, plus payments for spousal travel. (At that salary, why are testing physicians picking up travel expenses for Dr. Cassel's husband?)

Equally outrageous has been the ABIM's recent requirement for re-certifying physicians to complete a "Practice Improvement Module" as part of their re-certification requirements.  For those unfamiliar, doctors have to find something to improve in their practice, measure how its going, make a change, then measure the effect of that strategy in hopes it will improve patient care.  On the surface this requirement seems so, well, nifty!  How could anyone argue with the intent of such a requirement?  But imagine the time it takes to conceive and execute such a project.  How much patient care suffers as a result?  So doctors who are already stretched for time look for ways around this requirement and luckily, they find it is easily gamed.   So they talk to their hospital's quality coordinator, get some useful data, enter it into the MOC website, then answer questions that ask "what-did-you-learn-as-a-result-of-completing-this-module?" and, presto!  Their module is done!

Really, is this useful?  Maybe we should include handwashing exercises, too.  Or is this more about the ABIM maintaining their leadership's benefits and political favor?  As I performed this painful part of my re-certification requirement, I couldn't help but hear echo's of Don Berwick's Institute for Healthcare Improvement's educational curriculum that helped pave the way for the life-long healthcare guartantee he received for himself and his family for life.  Could the leadership of the ABIM have similar aspirations for a similar golden parachute?

I can't help but wonder.

As I wrote my additional exam fee check, I also reflected on what the "value" of this re-certification process is for physicians like myself that have been previously certified.

Will doctors get more income for having this certification? No, especially in the current payer climate that seeks to continue to limit physician payments.

Will doctors get more prestige for having this certification?   Not really, especially when nurse practitioners  at Walgreens can call themselves "board certified," too.  (It is interesting to note that their certification only costs $395 - 8.4% of the cost for medical re-certification.  Maybe doctors  should take their test instead?) What responsibility does the ABIM have to protect the value of the term "board certification" for physicians who invest in this process?  Given the ongoing board "certificate" fraud perpetuated by others directly under the nose of the ABIM, we are left to wonder if they have any authority to protect physicians' investment in this process.


Is the time required to re-certify worth it for doctors and patients?  Will doctors be smarter for having this certification?  I think the ABIM does try to make the knowledge assessment modules relevant to new knowledge in the medical field.  (Actually, I found these almost fun to take).  But I already stay up to date with current innovations and studies in my field thanks to my teaching responsibilities, ongoing state licensure requirements for continuing medical education credits, and my rather healthy social media presence.  Do these costly re-certification tests improve my knowledge significantly enough to affect my patient's outcomes?  I honestly don't think I've ever felt so.


Surely the public wants to know their doctors are quality doctors.  But what is more important, years of direct medical care experience or just having their doctor pass an expensive test every 10 years?  With the expected avalanche of patients entering our health care system, does the public want to pay for irrelevant bureaucracy that just feeds the system rather than improving physician availability?.  I suspect that the public would rather have their doctors engaged in their care rather than being distracted by unproven testing exercises. 

But it seems bureaucrats must endlessly continue the money flow that assures their spousal travel fees, so maintenance of certification will likely soon be tied to the granting of hospital credentials or state licensure. We should ask ourselves if we really want this.  In 2011, the ABIM received $44 million in fees from doctors sitting for  board certification and maintenance of certification.  That's a hefty chunk of change.  So much so that at least one doctor has recently sued the ABIM over concerns of monopolizing the process.

Doctors need to speak up, especially when others stand to enrich themselves on the labors of their colleagues.  If doctors can't get use a pen from a pharmaceutical rep, they sure as heck shouldn't being using their own colleagues' hard-earned funds for their spouse's travel.


Please think of these things when you cash my latest $775 check, ABIM, will you?

-Wes




Sunday, July 14, 2013

Case Study: Um, A Post-op Chest X-ray

Radiologist: "Um, doctor, there's something funny on your patient's post-operative chest x-ray:"


Post -operative Chest X-ray
(Click to enlarge)

(Remember, you never want to hear the word "Um.")

What did the radiologist see?

-Wes

Saturday, July 13, 2013

The Clash of Cultures

"It looks like you've done very well, Mr. Smith..."

"Thank you, doctor."

He left the patient's room and ambled back to the nurses station, legs tired and ankles somewhat swollen.  It had been a long case and now he just had to type his note, send an email message, and review his schedule for the following day.  He sat down at the computer and logged in.  That's when he looked up briefly and saw them.

They looked so young.  Their newly-pressed white coats accentuated the faint glow of the computer screens on their perfect skin.  They looked like thoroughbreds, while he the old horse put to pasture, if they had noticed.  But they were each staring intently at the electronic screen arranged along the desk countertops, one with his back to the other two.  Occasionally the one would turn to ask the other two a question, then return with a blank stare to the screen before him.  The new residents had arrived.

"So different," he thought.  There they are, seated before a computer looking more like telephone operators rather than doctors.  "What were they thinking?" he wondered silently, then pondered how things had changed.

For now he realized that they didn't have to know where the blood or microbiology laboratories were.  They didn't have to search for an x-ray.  Instead, they had to find which button to click.  This day, this moment, was probably their dream come true.  For it was the day they had waited and worked so hard for, the day they became a working doctor.  Underneath the electronic facade, they were probably excited, eager, wanting to do a good job: excitement and anxiety, all rolled up into one.

But somehow, it was different.  The new doctors rarely looked at each other as they stared vacantly into their computer screens.  It was as though they were transfixed by medical porn.  It looked as though they were being bred into an interchangeable electronic medical documentation team, not a cohesive, personal one equipped with interpersonal skills.  After all, they really didn't have to see or listen to each other any more. They could send each other an e-mail, text messages, or chose to stay isolated, listening to the rapid-fire clicking taking place next to them.  Emotionally and physically, they could be miles apart or seated together, it really didn't matter any more.    It was so efficient, so neat, that their organized orientation to electronic dehumanization required very little movement, very little patient contact.

But young doctors, he realized, were meeting their patients like they've always met new friends on Facebook: electronically first.  Was this better?  He wasn't sure.  Would the initial impressions garnered from the chart skew their ability to look independently and objectively at their patient?  Will they be capable of accurate empathy?  Will a patient's undocumented concerns be missed?  Will new doctors forget to use the subtle signs and symptoms brought forth by the physical exam to head off disaster or just wait for the test results to return before reacting instead?  Will they see enough, smell enough, do enough, sweat enough, to learn enough?

He wondered.

But they were young.  They could learn.  They would learn.  They'd adapt.

And they could type faster.

Perhaps.  Maybe.  We'll see.  "I can only hope," he thought, realizing he wasn't getting any younger.

He turned his gaze back to his own screen and clicked the icons slowly, the way he had done hundred of times before, filling his note with voluminous immaterial drivel the government required, then added a single line: "Doing well.  Home today."  So meaningful, he silently quipped, meaningful indeed.

He rose to say goodbye to the unit clerk, who smiled as she peeled her eyes from her iPhone, "Goodnight, doctor."

"Take care of the new guys, okay?" as he pointed to the people behind her with the new white coats.

"You bet," she said, not turning to see them.  Her eyes reset to to her iPhone screen instead.

-Wes



Wednesday, July 10, 2013

Case Study: The "Simple" ICD Revision

The following is an actual cardiac electrophysiology case study offered with the patient's permission. It's technical and contains an image that might turn some folks' stomachs, so for those who are a bit squeemish or just ate a meal: consider yourself warned and feel free to pass on this post. For the rest of you who remain interested and don't mind medical images, good luck.

It was supposed to be a simple ICD revision.

A prior abdominal ICD has been implanted in 1995. As was the norm of the day, the large ICD pulse generator was implanted in the left upper quadrant of the abdomen and an connected to an old Guidant Endotak Model 0074 lead that was implanted via the left subclavian vein and then tunneled down to the abdominal pocket. The device served the patient well for many years until its battery depleted in 2003. At that time, a new, smaller ICD with an appropriate header  replaced the old abdominal device and because the defibrillator lead worked well, the smaller ICD pulse generator was left in the abdominal pocket.

Years passed and the patient followed reliably in the Device Clinic for his routine defibrillator checks. While the lead impedance and capture thresholds remained normal, about a year ago intermittent periods of noise with non-physiologic short RR intervals suggestive of possible impending lead fracture began to appear on the patient's device checks. Because the patient was not pacemaker dependent nor near the time when his existing ICD battery would have to be replaced again, it was elected to wait until his battery reached it's elective replacement indicator before revising his system. When that time came, a new defibrillator lead could be implanted and connected to a more conventional VVIR ICD pulse generator implanted in the upper chest area (the patient has chronic atrial fibrillation). The old pulse generator could then be removed from his abdomen and the old lead capped and left in place.

So the day came for surgery. The patient felt fine: no fever, chills or other unusual symptoms pre-operatively. A venogram performed immediately before the procedure disclosed a patent left axillary and subclavian veins, so it was decided to first proceed with the new ICD implant on the same side as the site where his first defibrillator was implanted followed by removal of the old ICD pulse generator from the abdomen.  Pre-operative antibiotics were administered. To make a long story quite a bit shorter, the new single-chamber ICD implanted via the left axillary approach was performed without a hitch. A dressing was applied to the wound and preparations made to explant the abdominal pulse generator.

The lower abdominal area was similarly prepped and draped. Local anesthetic was infiltrated over the prior abdominal scan and an incision made at this location. Using electrocautery dissection, the incision was carried to the pulse generator capsule which appeared to be quite thick, but uninflammed. The fibrous capsule surrounding the pulse generator was then opened. What was found was startling to all.

Inside the pulse generator pocket was the device and lead system surrounded in a thick fluid that looked, for lack of a better way to describe it, like wet, brown mud. There was no odor. The device was extracted from the pocket after the suture holding the header of the device to the pocket wall was cut. A portion of the lead was also cut removed with the device. A picture of the removed device is shown here:


Soooo. What now?

Imagine you are the surgeon with this device in your hands. You have another case after this one. You struggle to find where this situation falls within our clinical "guidelines" for care and find very little. You aren't sure what you're seeing, but only know that this "chocolate-coated" ICD pulse generator is not the norm. (Usually they are nice and clean without debris.)

Ideas?

-Wes

Sunday, July 07, 2013

Physician Pay Redistribution: A False Sophie's Choice

Sophie's Choice is a novel by American author William Styron, whose plot ultimately centers around a tragic decision Sophie was forced to make upon entering the Nazi concentration camp: on the night that she arrived at Auschwitz, a sadistic doctor made her choose which of her two children would die immediately by gassing and which would continue to live, albeit in the camp.

While not of the same gravity,  I have seen the discussion by policy wonks about physician payment reform evolving into a smackdown between primary care physicians and specialty physicians for the remaining coins tossed on the health care floor.

James Hamblin MD, The Atlantic magazine's health editor, recently published an article entitled "When the Best Hospitals are the Worst," that assumes prestigious hospitals are the "worst" because they fail to train an adequate number of primary care physicians relative to the federal subsidy they receive for training residents:

But many hospitals aren't using that money to do what the taxpayers most need. 158 of them produce zero graduates that go into primary care. The worst offenders, in terms of the number of primary-care physicians produced, are the hospitals we hold in highest regard. 

To bolster his point, he references another article from the July-Aug 2013 issue of the wonkish Washington Monthly by demographer Phillip Longman entitled "First Teach No Harm."  Both Hamblin and Longman claim the following:
The nation’s residency programs are producing too many of the wrong kinds of doctors in the wrong places, while not producing enough of the kinds of doctors we most need to sustain the U.S. health care system.

Specifically, the programs turn out too many specialists who go on to practice in places where such doctors are already in oversupply, and where, according to numerous studies, they often inflate health care spending by engaging in massive amounts of unnecessary surgery and other forms of over-treatment. 

While both Hamblin and Longman make excellent points about the work conditions of today's primary care physician's, they veer into dangerous territory when they pile on the assumption that the problem with our nation's health care delivery and cost problem is the distribution of dollars between different types of physician training programs.  American's need doctors - all kinds of them - thanks to the ever-growing and aging population.  What they don't need is the mushrooming and very costly administrative overhead that plagues physicians today.

Here's a radical thought: all physicians should be paid a respectable and competitive salary commensurate with their years of educational investment and competitive training and receive the quality training they need to do their work.

But rather than acknowledging this fact, Hamblin and Longman want us to make a false Sophie's choice: picking which types of physician training programs should receive federal funds based on the types of physicians they train, rather than working to improve the lot of all physician training programs to assure excellent doctors in the years ahead for our health care system.

Perhaps rather than wondering how to redistribute $13 billion dollars of educational funding for medical residencies that flows to all residency programs, Hamblin and Longman should ask how we should cut the mushrooming and incredibly costly administrative overhead of our system that already  stood at $320 billion (and counting) way back in 2003?  How much is that overhead expanded thanks to the introduction of over 110 government agencies created by our new health care law?  Which bean counter should be fighting with the other bean counters for their share of administrative dollars?  Which new data miner, quality coordinator, hospital administrator, database operator, or government agencies that share similar functions (like the PCORI and AHRQ agencies) yet provide no care should be fighting to save themselves?

Maybe rather than peeling the dollars from any doctor's training pocket as he charges down the hallway to see the next patient in his 14-hour day, we should determine how to peel the even larger amount of dollars held in the pockets of the five administrators trailing him.

This is our real health care system cost Sophie's choice.

And doctors of all specialties would be wise to remind Congress and their respective medical associations of this fact.

-Wes



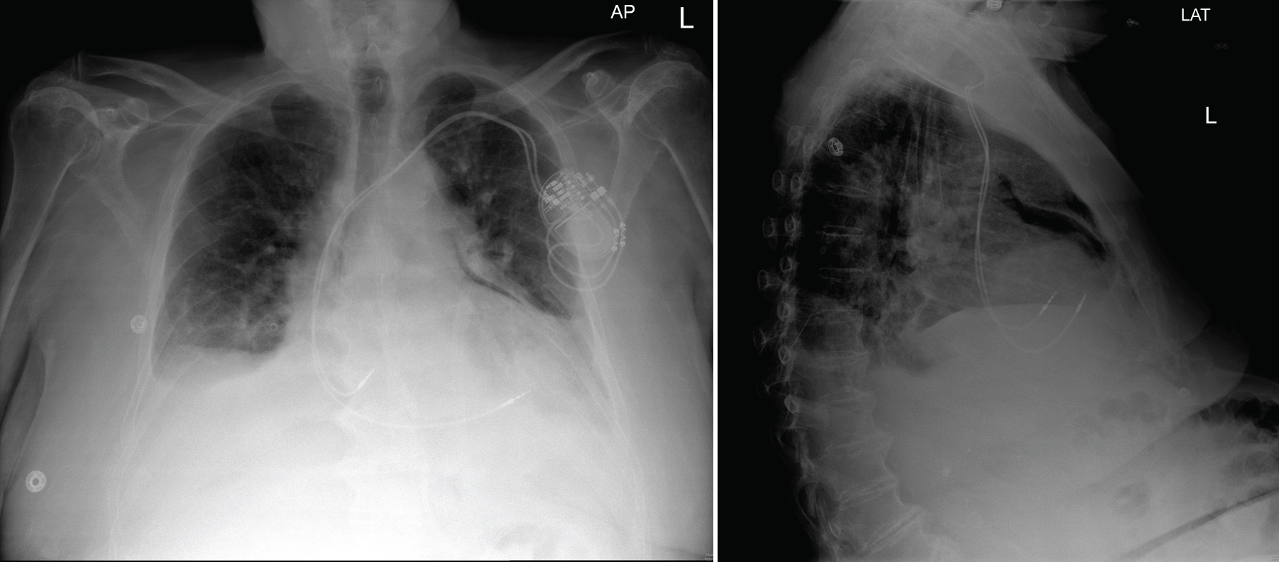
Tuesday, July 02, 2013

A Chest X-Ray You Don't See Everyday

... unless, of course, you're a cardiac electrophysiologist:

An anterior-posterior (AP) and lateral (LAT) chest radiograph
(Click image to enlarge)
-Wes

PS: Answer here.